10分钟,让你重新认识两百担!
发布时间:2023-5-17 10:10:00

图片

  • 刘仲华院士在做相关学术报告


国内权威期刊,《中国茶叶》2023年第3期发表了一篇刘仲华院士团队关于安化黑茶的学术论文。该论文对安化黑茶调理肠胃的功效及作用机理做了详细的实验分析。


图片
刘仲华院士团队的学术论文



该论文主要得出了3个重要结论:
一、抗腹泻作用
研究表明,茯砖茶水提取物对番泻叶所致分泌性腹泻、蓖麻油所致非感染渗出性腹泻和硫酸镁所致渗透性腹泻有防治效果,陈年茯砖茶抗腹泻效果更好,且均有剂量效应。研究还发现茯砖茶对小鼠腹泻不仅具有治疗作用,而且具有预防效果,可明显抑制稀便发生率。
图片

二、通便作用
茯砖茶水提物及全粉均具有增强洛哌丁胺造成的小肠蠕动抑制模型小鼠的小肠运动、缩短排便时间、增加排便量的作用,具有剂量-反应关系。


不同剂量,不同种类茶制剂对小鼠小肠运动(墨汁推进率)的影响


图片



三、调节肠道微生物,促进机体健康

1、可以调节肠道免疫力;

对肠道菌群失调的小鼠灌服茯砖茶水提物后,各组小鼠肠道菌群得以调整,小肠黏液sIgA、血清IL-2、血清白蛋白和总蛋白均有所升高,与自然恢复组相比具有显著性差异。高剂量组疗效优于低剂量组,充分说明茯砖茶水提物能修复受损黏膜,有调节肠道免疫功能的作用。
2、可以抵御非酒精性脂肪肝;

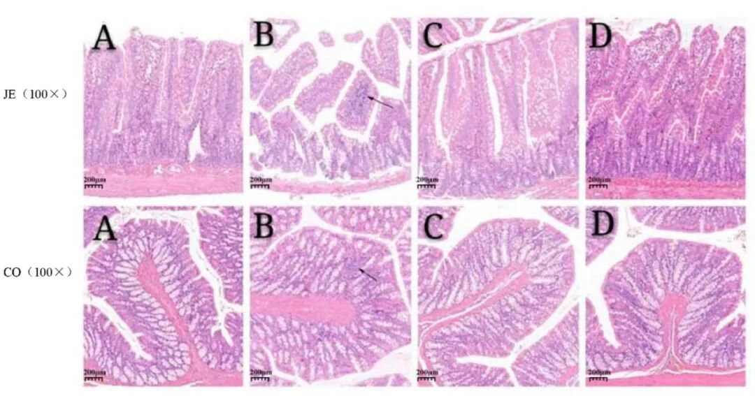
图片

大鼠肠道病理组织切片(JE-空肠,CO-结肠;A-正常组,B-NAFLD组,C-茯砖茶低剂量组,D-茯砖茶高剂量组。与正常组比较,NAFLD组空肠绒毛大量断裂,排列紊乱,有明显从肠黏膜上脱落的现象,空肠与结肠黑色箭头处存在炎细胞浸润,这说明高脂饮食会破坏大鼠肠道形态结构的完整性,增加肠道炎症;与NAFLD组比较,茯砖茶组的空肠绒毛排列整齐,紧密,绒毛完整性高,且空肠和结肠都未产生炎症,无病理特征,这说明茯砖茶能够对NAFLD大鼠的肠道形态结构完整性起到保护作用,并减轻肠道炎症。)


3、可以修复肠道炎症;

研究评价了茯砖茶水提取物、富集茯砖茶多酚的醇溶提取物及富集茯砖茶多糖的醇沉提取物对葡聚糖硫酸钠诱导小鼠炎症性肠病的预防保护作用及对炎症性肠病小鼠氧化应激和炎症因子的影响,发现3种提取物均能降低细胞因子的含量,有效缓解炎症性肠炎的机体炎症水平,对葡聚糖硫酸钠诱导炎症性肠炎具有一定的预防保护作用。

4、可以改善脂质代谢;

研究茯砖茶水提物通过调节肠道微生物群结构和功能,影响肠-肝胆汁酸代谢循环,增强机体抗氧化作用以及全身性脂质消耗,对肝脏与肠道的结构和功能具有明显保护作用,改善脂质与炎症反应,抑制高脂饮食环境下大鼠体重的过快增长。

图片

茯砖茶水提物预防肥胖及高胆固醇血症作用相关机制


5、可以抑制肠道致病菌。

肠道菌群失调是酒精性脂肪性肝病(AFLD)发病的重要原因,安化黑茶能够显著预防慢性酒精暴露小鼠肝脏脂肪变性,降低氧化应激和炎症反应,调节肠道菌群。黑茶可以通过调节肠道菌群来预防慢性酒精暴露引起的AFLD。茯砖茶显著恢复厚壁菌门/拟杆菌门比值的升高。诱导有益菌Clostridiaceae、Bacteroidales和Lachnospiraceae的丰度增加,降低有害菌Ruminococcaceae、Peptococcaceae、Peptostreptococcaceae和Erysipelotrichaceae的丰度,减少肥胖和改善代谢紊乱。

图片


依次用三氯甲烷、乙酸乙酯及正丁醇不同极性溶剂萃取茯砖茶水提物制备样品,用药敏纸片法测定各部分对大肠杆菌、沙门氏杆菌、溶血性链球菌、金黄色葡萄球菌、枯草芽孢杆菌、志贺氏菌等常见致泻菌的抑菌效果。结果表明茯砖茶提取物各部分样品对上述6种致泻菌的抑制效果有明显差异,乙酸乙酯及正丁醇萃取部分对6种致泻菌均有较强的抑菌活性,乙酸乙酯部分的抑菌效果更好,三氯甲烷萃取部分及水层部分对致泻菌抑制作用不明显。
——以上内容摘自《中国茶叶》2023,45(03)

喝高端茯茶,选两百担
全程有机,品牌力作
值得拥有!
上一篇:最近是海鲜、啤酒、小龙虾?两百担很适合你!
下一篇:乍暖还寒,温情不变——两百担

ICP备案编号:湘ICP备10006279号  版权所有 Copyright© 2015-2035湖南省高马二溪茶业股份有限公司

茶,黑茶,湖南黑茶,安化黑茶,黑茶加盟,知名黑茶品牌,千两茶,天尖茶,茯砖茶,黑砖茶,花砖茶,高马二溪,高马,皇家茶园,贡茶,茶知识,茶文化,茶资讯,茶加盟,官方网站,黑茶大品牌,靠谱黑茶品牌,好喝耐泡,安化山头,芙蓉山,梅城,马路口,云台山,云雾茶,春茶,上新,上市

首页
我们
电话
顶部